
Infection After Tooth Extraction: Warning Signs You Shouldn’t Ignore
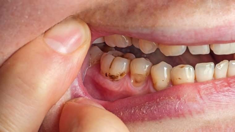
Pain, swelling, bad taste, or fever after a tooth extraction could signal an infection. Early treatment is key to preventing complications and protecting your oral health.
At All Smiles Dentistry Allen, we make it easy to get the care you need – with same-day appointments, honest treatment, and flexible payment options. You’ll never be rushed, judged or pressured.
Your Search for a “dentist near me” in Allen ends here. We offer:
Comprehensive New Patient Package
Regular Price: $250 | Our Price: $99
Orthodontic Treatment Special
4.9 out of 5 based on 544 ratings.





Don’t let insurance concerns stop you from getting needed care. Call us to discuss your options!
Major Insurances
Healthcare Finance Direct Accepted
Options Available
Savings Plan
Our Services
Don’t wait for dental problems to worsen. Book your appointment today and receive:
Blog feed

Pain, swelling, bad taste, or fever after a tooth extraction could signal an infection. Early treatment is key to preventing complications and protecting your oral health.

Family dentistry provides comprehensive dental care for all ages from preventive treatments to early detection, ensuring long-term oral health and a confident smile for every stage of life.

Did you know composite fillings have a lower failure rate than amalgam? Compare the long-term value of resin vs. metal fillings and find out which one protects your tooth structure best.
Contact Info
604 West Bethany Drive
Allen, TX, 75013, USA
Tue: 9 AM – 5:00 PM
Wed, Thu: 7:00 AM – 4:00 PM
Fri: 9:00 AM – 3:00 PM