
Dental X-Rays and Early Detection Explained
Dental X-rays are essential for early detection, helping identify hidden issues like cavities, infections, and bone loss to ensure timely treatment and better oral health.

Dental X-rays are essential for early detection, helping identify hidden issues like cavities, infections, and bone loss to ensure timely treatment and better oral health.

Crowded teeth can point to underlying issues with breathing, sleep, and even brain development can have a huge impact on your child’s health.

We will explore five common culprits that damage teeth and offer practical dental health tips to protect your smile.

Finding a dentist in Allen, Texas, is easier when you know what to look for and why it’s so important to book early.

October 09, 2024 When it comes to your kids’s health, we often think of things like colds, scrapes, or tummy

September 26, 2024 If you’ve recently had a root canal, you’re probably wondering what to expect as your body heals.

September 27, 2024 When it comes to orthodontics, there’s no shortage of misconceptions floating around. From misunderstandings about when kids

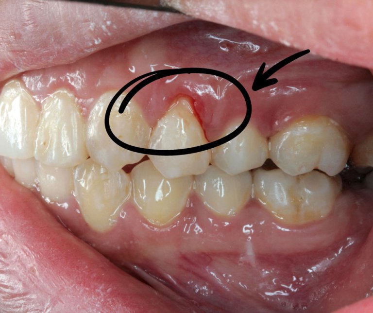
Gum recession exposes tooth roots, causing sensitivity and decay risk. Learn its causes, stages, treatments, and prevention tips to protect your smile and maintain long-term oral health.

September 04, 2024 Teeth sensitivity is a concern for many people. Whether it be a sharp pain when eating something

August 22, 2024 Exploring the Process of Getting a Dental Crown Taking care of your teeth is essential for your

August 12, 2024Deciding between Invisalign and traditional braces can be challenging when it comes to care. Both methods are effective

July 16, 2024 Hi there! If you’ve ever wondered what makes dental implants work?. If you’re thinking about getting a